小児矯正
□鼻炎・喘息を持っている
□いつも口が開いている
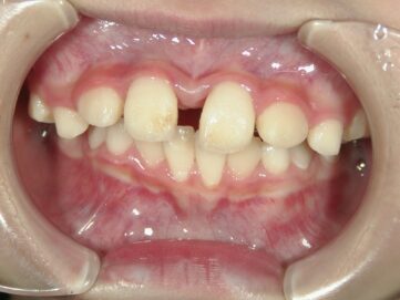
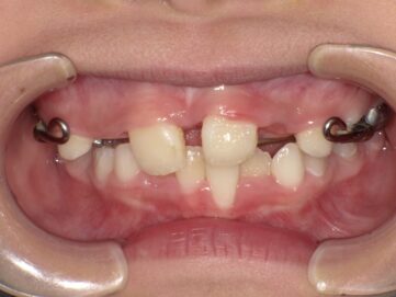
□受け口になっている
□口呼吸が多い
□こどもなのにいびきをかく
□扁桃腺を腫らしやすい
□歯と歯の間に隙間がない(歯並びが良くない)
□活舌が良くない
1つでも当てはまる方はご相談ください
「早いうちから矯正しておいてよかった!」
患者様から届くお喜びの声です

小児期の矯正治療で
お子様の人生が変わります
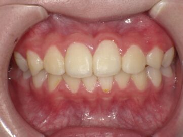
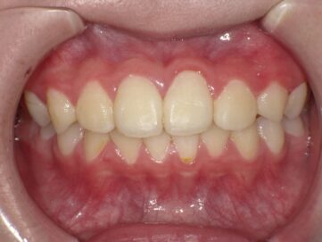
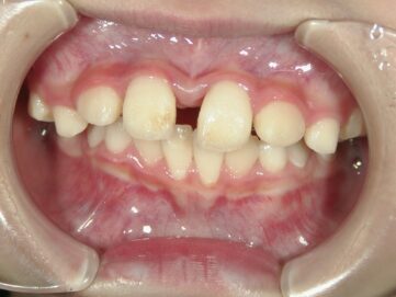
最近では歯並び・噛み合わせが悪い子供が増えてきています。成長期における生活環境や食生活による顎の成長不全が原因だと言われています。噛み合わせが悪いと歯がしっかりと生えることができなかったり、八重歯や出っ歯などの 不正咬合となってしまう可能性があります。
また、その他にも呼吸障害も誘発されたりなど、身体にも影響を及ぼします。これらは、顎骨の未発達が原因で起こる事が多いですが、小児期の矯正治療で治す事が可能です。
実際に、矯正治療をした患者のほとんどの方から、もっと早くから矯正治療を受ければ良かった。とお声を頂いています。 早くから矯正治療をすることでお子さまの成長をサポートし、長期的な健康生活を実現できます。
青島歯科クリニックでは、
矯正治療の多くの実績がございますので
患者様に最適な治療を
ご提案させて頂きます。
子どもの頃の早い時期から矯正治療を行うことで、顎の発達を利用しながら、歯を動かしていくことが可能です。
子どもの頃は骨が柔らかいので、歯が動きやすく治療がスムーズに進行します。また、痛みも軽いことが多いです。
大人になってしまうと、永久歯が全て生え揃っていて、顎の成長も終えている状態になります。
そのため、大人になってからの矯正治療では、綺麗に歯を並べるスペースを確保するために抜歯が必要になるケースが多いです。
しかし、子どもの頃の矯正治療に関しては骨が柔らかく、顎の発達も利用できるため歯が動かしやすく、歯を抜かずに治療できる確率が高いのです。
第1期治療(3~10歳)から小児矯正を治療開始できれば、第2期治療(中学~成人)から矯正治療を開始する場合と比較してみても、治療期間を短縮できるという考え方もあります。永久歯が生え揃うスペースを確保しながら顎の成長もコントロールしていくことができますので、大人になってからの矯正治療よりも短期間で終わることが多いです。もしくは、大人になってからの矯正治療が不要となる可能性もあります。
顎の未発達は、不正咬合など歯に関してだけではなく、身体にも影響があったりなど様々な悪影響を及ぼします。顎の発育不全を補う事はとても重要ですが、矯正の効果が最大限発揮できるのは、期間が限られています。8~10歳までには上顎の発育が終わってしまいますので、骨格の改善を考慮した矯正の場合は5~7歳までに治療を進めていく事が効果的が最大限に発揮されます。
しっかりと自分の歯で噛んで食事をする、姿勢を正しくするなど、日常生活で親御様が習慣づけさせることが大切になってきます。小児矯正と正しい生活習慣によって、お子さまの長期的な健康の維持に繋がります。
子どもの矯正
お子さまの成長をサポート
顎顔面矯正治療とは、歯並びだけでなく噛み合わせや顎関節を考慮して行う矯正治療のことです。顎顔面矯正治療により、顎関節症の緩和や鼻づまりの改善効果も期待できると言われています。主に、小児期に行い、見た目をよくするだけではなく、顎の骨や顔の骨格を正しい形に導きます。
歯並びの悪い原因としては顎の急な成長によるものが多く、装置で顎を広げる事で歯が綺麗に並ぶスペースを確保します。
青島歯科クリニックでは、顎顔面矯正治療によるお子さまの歯並びを綺麗に整える治療を行っており、お子さまの歯並びを骨格から正しく治し、成長を一緒にサポートさせて頂いております。
■対象年齢:5~12歳
■治療期間:2~3年





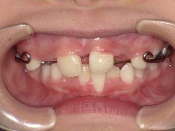
上顎の骨には繋ぎ目が存在しており、そこで左右二つの骨に分かれています。急速拡大装置を上顎に固定して装置の中央にあるネジを回すことで繋ぎ目を広げ、徐々に上顎の骨の変えていきます。そうすることで、顎の骨が正しい形に成長していくよう促され、永久歯を正しい位置で生えるように誘導できます。

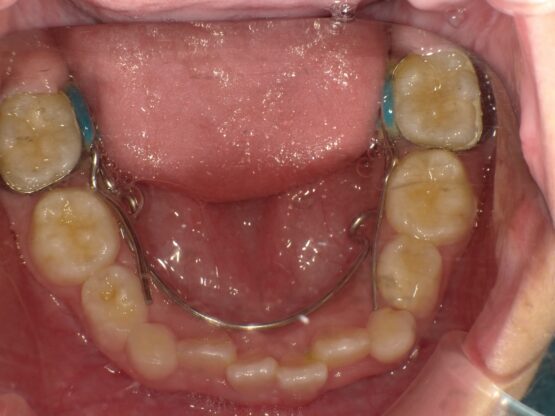
急速拡大装置で上顎の拡大が進むと、下顎の骨も調整する必要が出てきます。その際に使う装置がリンガルアーチです。下顎の骨は上顎の骨と作りが違います。下顎はひとつの骨で構成されているので、上顎と同じように拡大させることができません。内側に傾いている歯を起こすようにして歯列部分だけを拡げていきます。この装置も固定式の装置となっており、歯の裏側に装着しますので目立たない見た目となっています。

上顎の拡大と下顎の歯の調整が進むと、機能的矯正装置であるアクチバトール(FKO)という装置を使用します。アクチバトール(FKO)は着脱式の矯正装置で、下顎を適切な位置へ誘導します。 顎の位置、形態が改善し、舌、口唇の位置、使い方が改善すれば、自然に歯の位置が変わって歯が綺麗に並ぶようになります。
日常生活で気になる点をお伺いし、お口の状態を細かくチェックします。
顔やお口回りの写真撮影・顎の骨や頭蓋骨全体のレントゲン撮影・噛み合わせの型取り・顎関節や呼吸の仕方チェック等を行い、矯正治療に必要な情報を収集するために、検査を行います。
カウンセリングや矯正検査の結果をもとに立てた治療計画を、患者様が分かりやすいように説明させて頂きます。
患者様にお伝えする際には、検査で撮影した写真や歯型を使ってご説明させて頂きます。
治療計画に沿って治療をスタートします。患者様のお口の状態に合わせて、用意した矯正装置を装着して頂きます。その後、1~3ヵ月ごとに来院いただき、装置の調整と治療経過の確認を行います。
歯の位置が治療後に後戻りするのを防ぐための保定期間も重要です。
治療後の歯並びに関しても、永久歯への歯が生え変わるまでの経過を観察しますので、定期的なメインテナンスが必要です











