インプラント
噛む喜びを実感してください
歯を失ったままだと、食べ物が上手く噛めずに食事が楽しくなかったり、話しにくかったりなど、身体に影響を及ぼすこともあります。
インプラントは本来の歯と同じ機能を取り戻すことができますので、快適な生活を送っていただけます。

インプラントとは、失った歯を支えていた顎の骨に人工の歯の根(フィスクチャー・チタン製など)を埋め込み、その上にセラミック素材などの人工の歯を固定する、歯科の最先端医療技術です。インプラント治療を行う事で、天然歯のような見た目と機能を取り戻すことができます。インプラント治療の最大のメリットは、今ある歯を守るということです。
歯を失う事で、多くの悩みを抱えている方もいらっしゃるのではないでしょうか?下記のようなお悩みはありませんか?
1.食べ物が噛みにくくて食事が楽しめない
2.歯がない部分の見た目が気になる
3.言葉の発音がしにくく、会話が楽しめない


01
02

インプラントは、従来の入れ歯のように「ずれる」や「痛い」といった不快感がなく、ブリッジのように隣り合う歯を削ったりして負担をかけるということもありません。治療後も定期検診などできちんとメインテナンスを続けていれば、長持ちさせることも可能です。


1.天然の歯に近い見た目になり審美性に優れている
2.自分の歯のように噛むことができ機能性に優れている
3.長期間安定した咬み合わせを維持することができる
1.保険適用外のため、費用が高い
2.インプラントは治療期間が長い
3.治療後にメインテナンスが必要

1.他の治療と比べると、比較的に短期間で終わる
2.材質によって天然の歯と同じような審美性にできる
3.固定されているので違和感はそこまで感じない
1.両隣の健康な歯を削る必要がある
2.食べカスが歯の挟まりやすい
3.材質によって見た目の差がある

01
全身状態の問診と口腔内の診査を行った後、あごの骨の量と質を記録するため、お口の中の型を取るのと同時にレントゲン・CT撮影を行います。当院では、CT撮影後、コンピューター上でソフトを使用し、診査・診断を行います。これらのデータを用いて、一人ひとりの患者様に合った最適な治療計画をご提案します。

02
局所麻酔下に、インプラント体をあごの骨に埋め込みます。骨と結合するまでは、期間をおく必要があります。治療期間に関してはインプラント体の種類・骨の健康状態・体調によって異なってきます。治療計画を立てる際には患者様とのご相談、ご説明をしっかりとさせて頂きます。

03
縫合後、インプラント違和感などがないことを確認し、アバットメント(土台)を装着します。

04
アバットメントの上にクラウンを被せ、噛み合わせに問題がないかなど、細かく調整します。インプラント体が顎骨と結合し、切開部が治癒したら人工の歯を装着し治療は完了です。

05
インプラント治療が終わった後も、定期的にメインテナンスを受けてください。インプラントは人工物のため、細菌感染に対する耐性がなく、感染しても自覚症状が薄いまま重症化することが多いです。口の中を衛生的に保つために定期的にメンテナンスを行います。ブラッシングの仕方などの指導も行います。
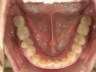
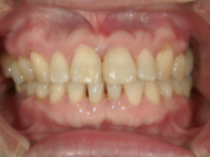
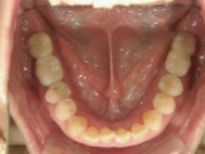
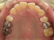
症例写真


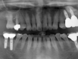
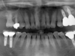
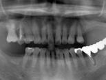
症例写真(レントゲン)





インプラントは【第二の永久歯】とも言われています。
虫歯や歯周病、外傷などによって抜けてしまった歯にかわって、咬み心地や見た目を回復します。歯が無くなって、下記のように諦めている事や悩んでいる事はありませんか?
そんな方は是非青島歯科クリニックにご相談ください。
食事や会話を気にせずに楽しめるようになりたいという方も多くいらっしゃいます。インプラントによって、普段の生活を豊かにしたいというのが当院の願いです。
